Kalp hastalığı dünya çapında önde gelen ölüm nedenleri arasındadır. Kalp hastalığı sadece damar tıkanıklığı olan hastalarla sınırlı olmasa da yüksek tansiyon ve şeker hastalığı olan hastalar da kalp hastalığı açısından yüksek risk grubuna girmektedir. Geçmişte kalp krizi geçiren hastaların yaşama şansı oldukça düşükken, günümüzde erken müdahaleyle hayatta kalma oranı ciddi oranda arttı. Ancak kalp krizini atlatan hastalarda zamanla kalp dokusunda hasar meydana gelebilir ve bu durum kalp yetmezliğine ve ritim bozukluklarına yol açabilir.
“YANLIŞ BİR ŞOKA NEDEN OLABİLİR”
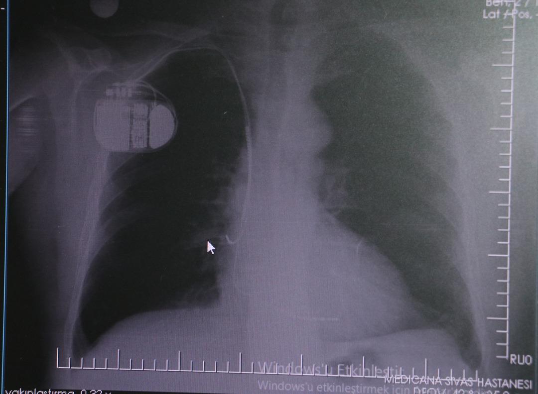
Konuyla ilgili açıklama yapan Kardiyoloji Anabilim Dalı Uzmanı Dr. İsmail Erdoğu, kalp pilinin önemine dikkat çekti. Yeni nesil kalp pillerinin MR cihazlarına erişim sağladığını ancak tarama cihazlarından geçmenin tavsiye edilmediğini söyleyen Erdoğu, şöyle konuştu: “Soğuktan kaynaklanan titreme, kalp pilinin kalbin durduğunu düşünmesine ve sahte şoka neden olabilir. Bu nedenle hastalarımıza bu dönemlerde daha dikkatli olmalarını öneriyoruz.”

“Kalp pili gerekli”
Kalp krizi sonrası kalp dokusunun zarar gördüğünü belirten İsmail Erdoğu, şöyle konuştu: “Kalp hastalığı günümüzde dünyada en sık görülen ölüm nedenlerinden biridir. Kalp hastalıklarının pek çok grubu vardır. Kalp hastalığı dediğimizde sadece kalpte stent bulunan ve damar sorunları olan kişileri kastetmiyoruz. Aynı zamanda hipertansiyon ve şeker hastalığı olan hastalar da kalp hastalığına adaydır. Toplumun yaklaşık %30-35’ini kapsıyoruz. Oldukça yaygın bir hastalıktır ve bu konuda teknolojik ve tıbbi anlamda ciddi gelişmeler yaşanmıştır. Son 30 yılda insanlar kalp rahatsızlığı nedeniyle hastaneye kaldırıldı.” “Hastaneye yattıktan sonra hayatta kalmak artık mümkün. Kalp krizinden kurtulmanın belli bir maliyeti var. Kalp krizinden sonra kalp yetmezliği ortaya çıkıyor. Kalp yetmezliği olan hastalarda aritmiler, ani ölümler gibi sorunlar ortaya çıkabiliyor. Hastaların bu uzun vadeli rahatsızlıklardan kendilerini korumak için mutlaka kalp piline ihtiyaçları var” dedi.

“SOĞUK HAVALARDA DİKKATLİ OLMAK GEREKİYOR”
MR makinesine kalp pili takılmasının mümkün olduğunu belirten Erdoğu, şöyle konuştu: “Çok büyük bir ameliyat değil ama yine de ciddi bir cerrahi işlem. Kalp pili tıpta son 30 yılın en büyük gelişmesi. Aslında bilgisayarın minyatürleştirilmiş hali olup insan vücuduna yerleştirilen bir tedavi. İnsan ömrünü önemli ölçüde uzatan bir tedavi. İnsanlar şokla hayata tutunurken, pil olmasaydı öleceğini düşündüğümüz çok sayıda hastamız var. Bu özelliğimiz Kalp pili uygun hastalarda ani ölümü önler, ritmi düzeltecek sağlık uzmanı ya da defibrilatör yoksa hastayı hayatta tutmak mümkün değildir. Hastalarımız “kalp pilim var” dediğinde hastalıktan kurtulurlar. Örneğin mikser kullanmak ya da kolu sallayacak herhangi bir hareket kalp pilini olumsuz etkileyebilir. Soğuk havalarda vücutta meydana gelen şiddetli titremeler kalp pilinin hafızasını karıştırıp gereksiz şoklara neden olabilir.
